今日はホワイトニングについてのコラムです。
日々お問合せが多いのがホワイトニングです。どんな種類があって、どんな注意点があるのか。医院でお伝えしていることをコラムでまとめてみたのでお気軽にご覧になってください。

特徴
マウスピースをご自宅で1日最大2時間つけます。それを最長2週間続けることで白さを得られるホワイトニングです。
メリット
・ご自宅で気軽にできる。
・初回のトレーがその後も使え、追加ジェルの購入のみでその後もホワイトニングが可能
デメリット
・場合によっては一時的にしみが出る場合がある。これは以前は多かった症状ですが、最近は薬液の改良でかなり少なくなりました。当院の使用してるオパールエッセンスは比較的しみはでにくいです。
おすすめ
時間がかかってもいいのでじっくりと白くしたい方。一回白くした後もたまに白くメンテしたい方。
金額
33,000円(税込み)
トレーの型取り、トレー代、専用ケース、ジェル含む。
追加ジェル一本 3,300円
回数
3~4回
1お口の中を確認

歯科医師より使用方法、注意事項の説明を受けます。お口全体の健康を確認します。
*虫歯など治療がある場合は治療が完了してからホワイトニングを行います。
2歯の色の確認

歯の色調診査を行います。効果の確認のために写真を撮ります。
3ご自身の歯列に合ったカスタムトレイを制作

歯列に合ったカスタムトレイを制作します。医院にて型取りをします。
4 使用方法の説明
一週間ほどでトレーが出来上がってくるので、トレーのお渡しとトレイへのジェル注入方法など、使用手順の説明を受けます。あとはご自宅にて1日最長2時間、ジェル12本分を2週間で使い切る目安でご使用いただきます。

テレビを見ながらや移動中などご自由に使用できます。
*就寝中は使用はできません。
*しみが出る場合があります。その際は無理をなさらずに当院へご連絡ください。
5効果の確認

1~2週間後に効果の確認をします。使用後1週間ほどで効果を確認し、効果が弱い場合は装着方法や薬液のつけ方などを確認し再度確認します。
ご希望の白さになっていればひとまず終了です。
白さがもう少し欲しい場合はその後オフィスという医院で行うホワイトニングをご希望であれば併用する場合もあります。
6タッチアップ
その後は半年後などお好きなタイミングで歯の色調が後戻りをかんじたら追加でジェルを購入いただき再度ホワイトニング可能です。その際のトレーは初回のものを再利用できます。
トレイのつけ方

トレイを使用前に洗い、水を拭きとります。シリンジ尖端のキャップをはずしトレイにジェルを注入し、口腔内にセットします。
トレーの洗浄

終了後はトレイを外し、お口の中を十分に水ですすぎ、歯ブラシでジェルを取り除いてください。また、トレイも歯ブラシを使って水洗いし、水分をよく拭きとってからケースに保管します。
こちらの動画にわかりやすく載ってますのでご覧ください。

特徴
当院にて薬液をつけて2時間ほどかけて行うものです。
メリット
一回で終わる。
デメリット
・一時的にしみる症状が出る場合がある。これは以前は多かった症状ですが、最近は薬液の改良でかなり少なくなりました。当院の使用してるオパールエッセンスは比較的しみる症状はでにくいです。
おすすめ
急いで白くしたい方や、複数回通いたくない方におすすめです。
料金
33,000円(税込み)
回数
1回
1お口の中を確認

歯科医師より使用方法、注意事項の説明を受けます。お口全体の健康を確認します。*虫歯など治療がある場合は治療が完了してからホワイトニングを行います。
2お口の清掃と歯の色の確認

ホワイトニングを行う前にクリーニングと歯の色調診査を行います。効果の確認のために写真を撮ります。
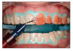
3オフィスホワイトニングを行う準備
オフィスホワイトニング材は高濃度の過酸化水素を使用し、短時間で白くします。そのため、お口の中を安全な状態で施術できるよう歯肉を緑色のブロック材で保護し準備します。(術後外します。)
4ホワイトニング開始
オフィスホワイトニング材のオパールエッセンスブーストを歯面に塗布したら紫外線で光照射してしばらく放置します。その後、ブーストを歯面から一旦除去します。ここまでの手順を1セットとして、1セットにかかる時間は約15~20分です。1日最大3セットまで繰り返し処置します。準備等を含め、約2時間の処置です。
5最終ステップ
ホワイトニング材を除去し、最後に口腔内を清掃します。ホワイトニング後の色調を診査し記録します。
こちらの動画にわかりやすく載ってますのでご覧ください。
特徴
ホームとオフィスを両方行うものです。
おすすめ
より効果を得たい場合はデュアルが一番おすすめです。それぞれ単体で行うより効果がでます。
金額
66,000円(税込み)
クリックすると拡大します。
Q そもそもホワイトニングってなんですか?
A
歯の表面を削ったり、溶かしたりするのではなく、ホワイトニング材の成分が着色物質を分解することによって自然な白さを実感することができます。歯科医院内で行う着色取りは歯の表面の汚れを取り除くことで、一方ホワイトニングは歯そのものの色を明るくすることです。
Q 歯科医院以外でもホワイトニングはあるけど、どう違うのですか?
A
歯科医院ではホワイトニングを行う前に、そもそも歯自体が変色しているか、歯の表面に着色汚れがあるのか?またホワイトニングができるものか?を適切に歯科医が診断し行う治療法です。
使用する薬剤も歯科医院でしか扱えないものを使用します。
また、虫歯の有無も術前に診断する必要がありますし、仮にしみが出たとしても歯科医院であればしみ止めなどの対処を適切に行うので安心です。
エステサロンで時々見られるセルフホワイトニングなどは歯の表面の黄ばみを落とす作用はありますが、歯自体を漂白する効果はありません。
いかがでしたでしょうか?歯が白くなるととてもさわやかな印象になり、喜ばれる方が多いです。お気軽にお問合せ下さい。
新潟市中央区上大川前通り6番町1195-1
アサオ歯科医院
痛みのない快適な治療とおもてなしの時間を目指しています。
虫歯や歯周病にならないような予防に力を入れています。また、お口の衰えから全身の不調につながらないように口腔機能の管理や訓練も日々行っております。
各種保険診療の他にもセレック、セラミック、インプラント、ホワイトニング、歯周組織再生療法等もおこなっております。
詳しくはお問合せページもしくは電話にてお問合せ下さい。
一覧に戻る